ग्राहक मामला 4D Zirconia ब्लॉक
प्रकाशित तिथि: August 29, 2024
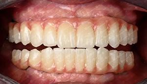
मास्टर: बुल्गारिया से इवैलो डिमिट्रोव
सामग्रीः युसेरा 4 डी प्रो मल्टीलेयर जिरकोनिया डिस्क
रंगः ए1
प्रकाशित तिथि: August 29, 2024
मास्टर: बुल्गारिया से इवैलो डिमिट्रोव
सामग्रीः युसेरा 4 डी प्रो मल्टीलेयर जिरकोनिया डिस्क
रंगः ए1
एक संदेश छोड़ें
हम आपको जल्द ही वापस कॉल करेंगे!
आपका संदेश 20-3,000 वर्णों के बीच होना चाहिए!
कृपया अपनी ईमेल देखें!
अधिक जानकारी बेहतर संचार की सुविधा प्रदान करती है।
सफलतापूर्वक प्रस्तुत किया गया!
हम आपको जल्द ही वापस कॉल करेंगे!
एक संदेश छोड़ें
हम आपको जल्द ही वापस कॉल करेंगे!
आपका संदेश 20-3,000 वर्णों के बीच होना चाहिए!
कृपया अपनी ईमेल देखें!